Patient in Hinsdale, IL Receives Tooth-Colored Fillings, Dental Crowns

Home > Patient in Hinsdale, IL Receives Tooth-Colored Fillings, Dental Crowns

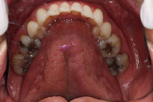
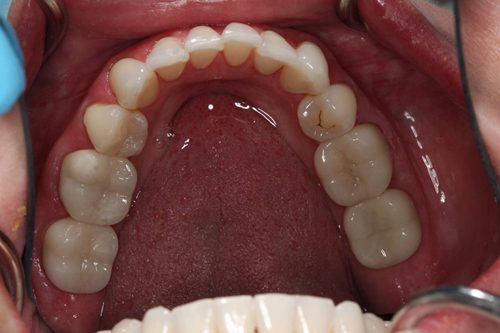
In October 2020, a female patient underwent tooth-colored fillings and dental crowns by a skilled dentist in Hinsdale, IL. Following the procedures, the patient expressed great satisfaction, citing the meticulous care provided by Dr. Jeffrey A. Weller. The patient’s experience was marked by a notable improvement in oral health and a renewed sense of confidence in her smile.

Before
After

Patient Information

Gender: Female
Ethnicity: White

Service

Dental Crowns
General Dentistry
Tooth-Colored Fillings

Let's Connect

Name(Required)