Patient in Hinsdale, IL Receives Porcelain Veneers and Cosmetic Dentistry

Home > Patient in Hinsdale, IL Receives Porcelain Veneers and Cosmetic Dentistry

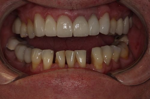
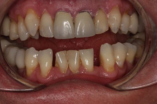
During the wintertime of 2018, a male patient underwent porcelain veneers and cosmetic dentistry at Dr. Jeffrey A. Weller’s practice in Hinsdale, IL. Following the procedure, the patient experienced a remarkable transformation in his smile. The meticulous work done by Dr. Weller left the patient thrilled with the results, boosting his confidence and self-esteem. The patient was impressed by the professionalism of the staff and the expertise of Dr. Weller, making his dental experience a positive one. He expressed, “I feel a lot more proud of my smile now because of my veneers!”

Before
After
Before
After

Patient Information

Gender: Male
Ethnicity: White

Service

Cosmetic Dentistry
Porcelain Veneers

Let's Connect

Name(Required)