Patient in Hinsdale, IL, Receives Cosmetic Dentistry and Porcelain Veneers

Home > Patient in Hinsdale, IL, Receives Cosmetic Dentistry and Porcelain Veneers

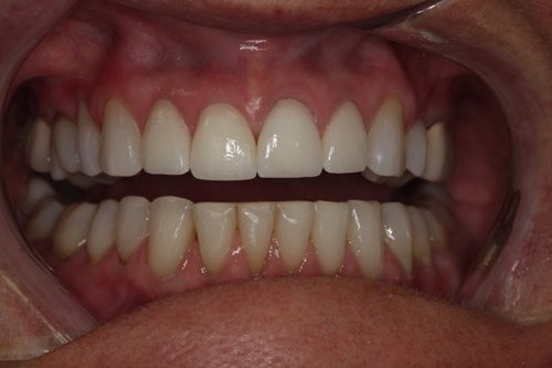
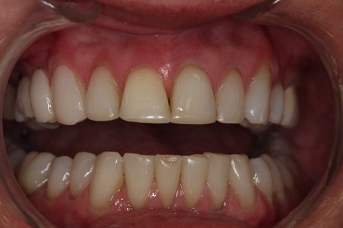
In August 2020, a white female patient underwent Cosmetic Dentistry and received Porcelain Veneers by Dr. Jeffrey A. Weller in Hinsdale, IL. Following the procedure, the patient reported increased confidence and satisfaction with her smile. The patient expressed gratitude for the professional and caring approach of Dr. Weller, praising the results that exceeded her expectations. This positive experience showcases the transformative impact of cosmetic dentistry on enhancing a patient’s self-esteem and well-being.

Before
After
Before
After

Patient Information

Gender: Female
Ethnicity: White

Service

Cosmetic Dentistry
Porcelain Veneers

Let's Connect

Name(Required)