Patient in Hinsdale, IL, Enhances Smile with Porcelain Veneers

Home > Patient in Hinsdale, IL, Enhances Smile with Porcelain Veneers

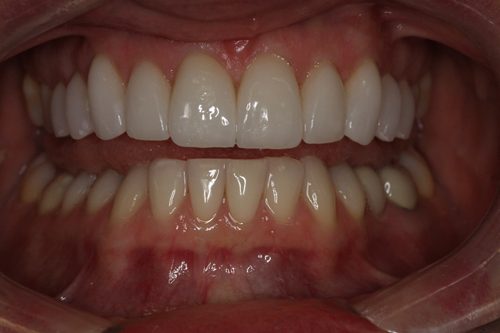
In 2018, a female underwent a smile makeover with porcelain veneers by Dr. Jeffrey A. Weller in Hinsdale, IL. Following the procedure, the patient experienced a remarkable transformation. Her smile radiated confidence, and her satisfaction was evident. The meticulous work performed by Dr. Weller had not only enhanced her appearance but also improved her self-esteem. The patient expressed immense gratitude for the exceptional results, highlighting the positive impact of the procedure on her life.

Before
After
Before
After

Patient Information

Gender: Female
Ethnicity: White

Service

Cosmetic Dentistry
Porcelain Veneers
Smile Makeover

Let's Connect

Name(Required)