Patient in Chicago, IL Receives ZOOM! Whitening

Home > Patient in Chicago, IL Receives ZOOM! Whitening

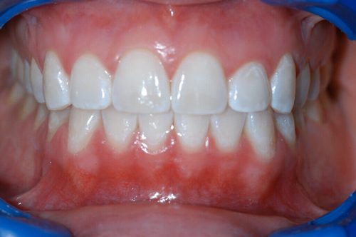
A female patient underwent ZOOM! Whitening in May 2015 at Dr. Jeffrey A. Weller’s clinic in Chicago, IL. The procedure resulted in a significant improvement in the patient’s teeth’ appearance, leaving them visibly whiter and brighter. The patient expressed satisfaction with the treatment, praising Dr. Weller’s expertise and the overall clinic experience. The successful outcome of the procedure boosted the patient’s confidence and left her with a radiant smile, showcasing the effectiveness of ZOOM! Whitening in achieving a dazzling smile.

Before
After

Patient Information

Gender: Female
Ethnicity: White

Service

Cosmetic Dentistry
Zoom Teeth Whitening

Let's Connect

Name(Required)