Patient in Chicago, IL Receives Dental Implants

Home > Patient in Chicago, IL Receives Dental Implants

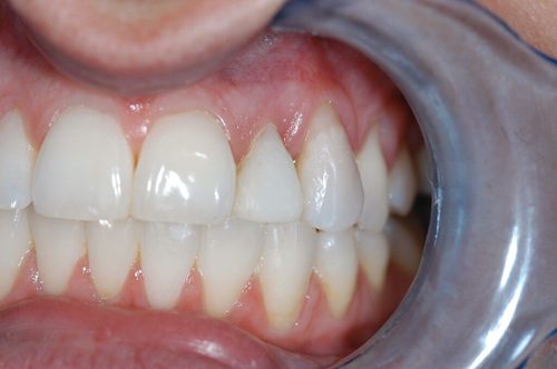
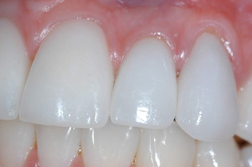
In the winter of 2007, a female patient underwent dental implant surgery performed by Dr. Jeffrey A. Weller in Chicago, IL. Following the procedure, the patient experienced a successful recovery and restoration of her dental function. The meticulous care provided by Dr. Weller resulted in a positive outcome, leaving the patient satisfied with the results. She expressed, “I cannot believe how natural it looks! I feel so much better showing my teeth now.”

Before
After

Patient Information

Gender: Female
Ethnicity: White

Service

Dental Crowns
Dental Implants

Let's Connect

Name(Required)