Patient in Chicago, IL Receives Cosmetic Dentistry, Porcelain Veneers

Home > Patient in Chicago, IL Receives Cosmetic Dentistry, Porcelain Veneers

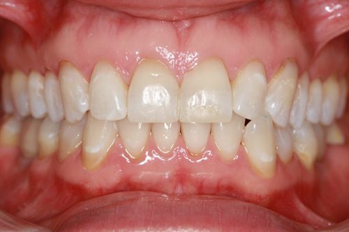
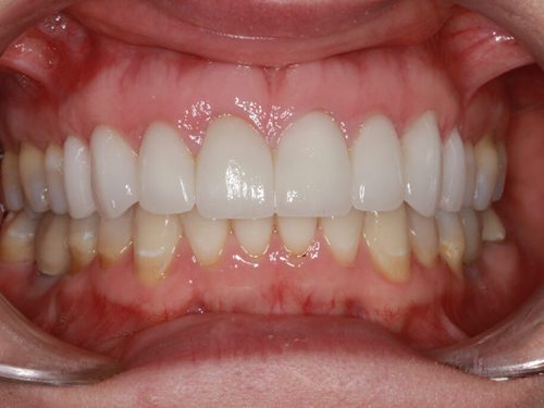
A female patient underwent successful cosmetic dentistry involving porcelain veneers in September 2019 by Dr. Jeffrey A. Weller in Chicago, IL. Following the procedure, the patient reported a positive experience, expressing satisfaction with the results. The patient praised Dr. Weller’s expertise and the outcome of the treatment, highlighting improved confidence and a radiant smile. She expressed, “I will forever be grateful for the incredible work you did on my veneers. Thank you Dr. Weller!”

Before
After
Before
After

Patient Information

Gender: Female
Ethnicity: White

Service

Cosmetic Dentistry
Porcelain Veneers

Let's Connect

Name(Required)