Patient in Chicago, IL Receives All-on-4 Dental Implants

Home > Patient in Chicago, IL Receives All-on-4 Dental Implants

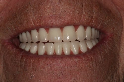
In 2017, a male patient underwent the All-on-4ยฎ Dental Implants procedure at a clinic in Chicago, IL. Following the skilled hands of Dr. Jeffrey A. Weller, the patient experienced a remarkable transformation. The patient’s journey to a new smile was marked by a seamless process and a swift recovery. The innovative technique revolutionized the patient’s oral health, boosting not only his confidence but also his overall quality of life.

Before
After

Patient Information

Gender: Male
Ethnicity: White

Service

All-on-4 Dental Implants
Restorative Dentistry

Let's Connect

Name(Required)