Hinsdale, IL Patient Receives Porcelain Veneers and Full-Mouth Reconstruction

Home > Hinsdale, IL Patient Receives Porcelain Veneers and Full-Mouth Reconstruction

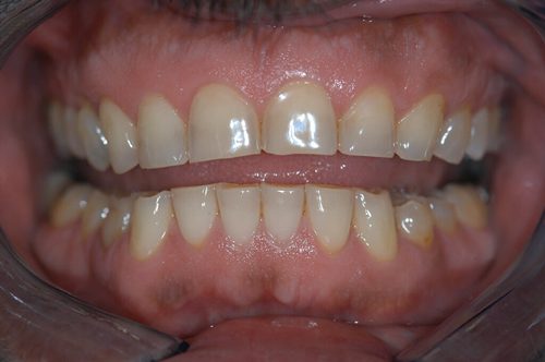
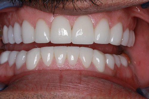
A male patient underwent Porcelain Veneers and Full-Mouth Reconstruction in the summer of 2013, under the care of Dr. Jeffrey A. Weller in Hinsdale, IL. Following the procedures, the patient experienced a remarkable transformation. His smile was rejuvenated, his confidence restored. The meticulous work of Dr. Weller brought about a positive change in the patient, who now beams with newfound self-assurance and happiness. He expressed, “I love my new smile! My Veneers look and feel perfect!”

Before
After
Before
After

Patient Information

Gender: Male
Ethnicity: Middle Eastern

Service

Full Mouth Reconstruction
Porcelain Veneers

Let's Connect

Name(Required)