Hinsdale, IL Patient Acquires Invisalign Treatment

Home > Hinsdale, IL Patient Acquires Invisalign Treatment

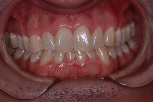
A male patient underwent Invisalignยฎ treatment in May 2018, performed by Dr. Jeffrey A. Weller in Hinsdale, IL. Following the procedure, the patient experienced a remarkable transformation. His new smile not only enhanced his appearance but also boosted his confidence significantly. The patient expressed great satisfaction with the outcome of the treatment, highlighting the professionalism and expertise of Dr. Weller. The successful Invisalignยฎ procedure in 2018 marked a positive turning point in the patient’s life, illustrating the impact of cosmetic dentistry on overall well-being. He expressed, “I’m so glad I have the confidence to smile big.”

Before
After
Before
After

Patient Information

Gender: Male
Ethnicity: Hispanic

Service

Invisalign

Let's Connect

Name(Required)