Chicago Resident in IL Receives Cosmetic Dentistry

Home > Chicago Resident in IL Receives Cosmetic Dentistry

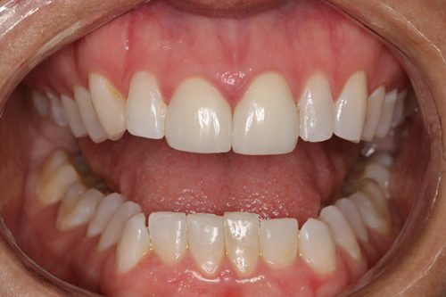
Following a transformative Cosmetic Dentistry procedure by Dr. Jeffrey A. Weller in Chicago, IL, the female patient experienced a significant improvement in her dental aesthetics. The procedure, which took place in August 2020, left the patient with a radiant smile, boosting her confidence and self-esteem. The meticulous work done by Dr. Weller not only enhanced the patient’s appearance but also restored functionality, allowing her to enjoy daily activities with ease. The patient expressed gratitude for the skilled and compassionate care received, highlighting the positive impact of the treatment on her overall well-being.

Before
After
Before
After

Patient Information

Gender: Female
Ethnicity: White

Service

Cosmetic Dentistry
Porcelain Veneers

Let's Connect

Name(Required)