Chicago Patient Receives ZOOM! Whitening

Home > Chicago Patient Receives ZOOM! Whitening

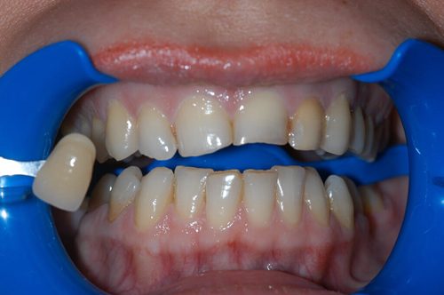
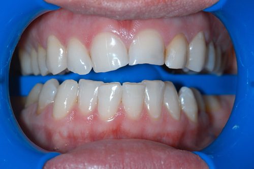
A male patient underwent a ZOOM! Whitening procedure in January 2017 at Dr. Jeffrey A. Weller’s practice in Chicago, IL, experiencing remarkable results. The patient’s teeth were visibly brighter post-treatment, enhancing his smile significantly. The procedure was performed smoothly, and the patient left satisfied with the outcome, praising Dr. Weller’s expertise and the clinic’s professionalism. This successful ZOOM! Whitening session in early 2017 left the patient with a newfound confidence in his smile’s appearance.

Before
After

Patient Information

Gender: Male
Ethnicity: White

Service

Cosmetic Dentistry
Zoom Teeth Whitening

Let's Connect

Name(Required)