Chicago patient receives tooth-colored fillings

Home > Chicago patient receives tooth-colored fillings

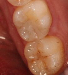
A male patient who underwent Tooth-Colored Fillings in the spring of 2019 by Dr. Jeffrey A. Weller in Chicago, IL, expressed satisfaction with the procedure. Following the treatment, the patient reported minimal discomfort and was pleased with the natural look of the fillings. The patient commended Dr. Weller’s expertise and the efficient, caring staff at the clinic. This positive experience highlights the success of the procedure in restoring the patient’s dental health and confidence.

Before
After

Patient Information

Gender: Male
Ethnicity: White

Service

General Dentistry
Tooth-Colored Fillings

Let's Connect

Name(Required)