Chicago Patient Receives Tooth-Colored Fillings, Dental Crowns

Home > Chicago Patient Receives Tooth-Colored Fillings, Dental Crowns

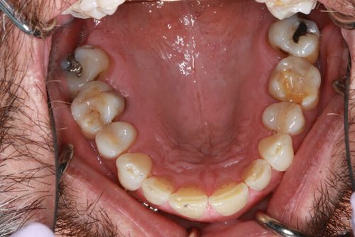
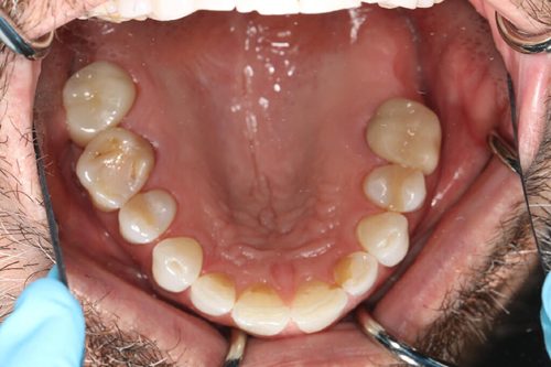
A male patient underwent tooth-colored fillings and dental crowns by Dr. Jeffrey A. Weller in Chicago, IL, in May 2018. Following the procedures, the patient reported a positive experience, expressing satisfaction with the results. The clinical team’s meticulous work and Dr. Weller’s expertise were highlighted, contributing to a successful outcome. The patient left the clinic with improved dental health and a confident smile, grateful for the professional care received.

Before
After

Patient Information

Gender: Male
Ethnicity: White

Service

Dental Crowns
Tooth-Colored Fillings

Let's Connect

Name(Required)