Chicago Patient Receives Tooth-Colored Fillings

Home > Chicago Patient Receives Tooth-Colored Fillings

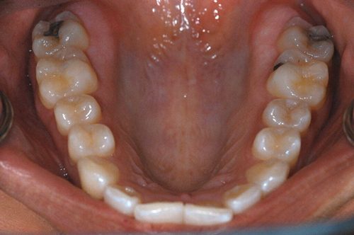
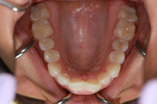
In May 2016, a Hispanic female patient underwent Tooth-Colored Fillings at a Chicago, IL clinic by Dr. Jeffrey A. Weller. The patient reported a positive experience, praising the skillful and gentle approach of Dr. Weller. The procedure left her with a restored smile and a pain-free outcome, enhancing her overall satisfaction with the dental care received. She expressed, “I love the way my fillings look and feel! Thank you Dr. Weller!”

Before
After

Patient Information

Gender: Female
Ethnicity: Hispanic

Service

General Dentistry
Tooth-Colored Fillings

Let's Connect

Name(Required)