Chicago Patient Receives Smile Makeover, Porcelain Veneers

Home > Chicago Patient Receives Smile Makeover, Porcelain Veneers

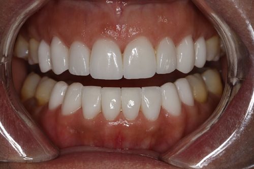
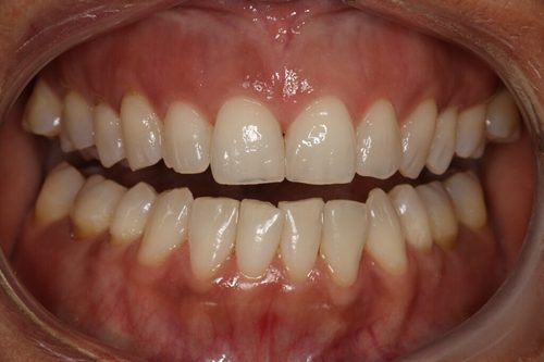
A Caucasian female patient underwent a Smile Makeover and Porcelain Veneers procedure in 2020 by Dr. Jeffrey A. Weller in Chicago, IL. Following the treatment, she exuded confidence with her radiant smile. The patient expressed great satisfaction with the results, praising Dr. Weller’s expertise and the team’s professionalism. Her experience serves as a testament to the transformative power of cosmetic dentistry, enhancing both her appearance and self-assurance.

Before
After

Patient Information

Gender: Female
Ethnicity: White

Service

Cosmetic Dentistry
Porcelain Veneers
Smile Makeover

Let's Connect

Name(Required)