Chicago Patient Receives Smile Makeover, Porcelain Veneers

Home > Chicago Patient Receives Smile Makeover, Porcelain Veneers

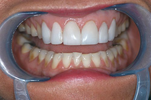
In spring 2006, a female patient underwent a Smile Makeover with Porcelain Veneers by Dr. Jeffrey A. Weller in Chicago, IL. The patient’s new smile exuded confidence and radiance. The procedure transformed her appearance, leaving her ecstatic about the outcome. Dr. Weller’s expertise and attention to detail were evident in the flawless results. The patient’s experience was a testament to the life-changing impact of cosmetic dentistry, enhancing both her dental aesthetics and self-esteem. She expressed, “I no longer have any jaw discomfort! Dr. Weller truly changed my life with these veneers!”

Before
After
Before
After

Patient Information

Gender: Female
Ethnicity: White

Service

Cosmetic Dentistry
Porcelain Veneers
Smile Makeover

Let's Connect

Name(Required)