Chicago Patient Receives Smile Makeover, Porcelain Veneers

Home > Chicago Patient Receives Smile Makeover, Porcelain Veneers

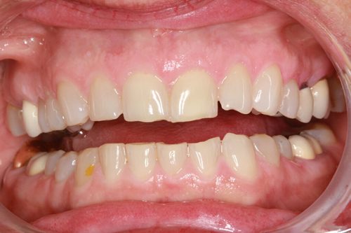
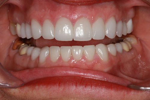
In July of 2009, a female underwent a Smile Makeover and Porcelain Veneers procedure by Dr. Jeffrey A. Weller in Chicago, IL. Following the treatment, the patient expressed immense satisfaction with the results. Her smile was visibly transformed, boosting her confidence and leaving her elated. The meticulous work by Dr. Weller had not only enhanced her dental aesthetics but also improved her overall self-esteem. This successful experience highlighted the positive impact of cosmetic dentistry on her life. She expressed, “I love how radiant my smile is now, because of my veneers!”

Before
After
Before
After

Patient Information

Gender: Female
Ethnicity: White

Service

Cosmetic Dentistry
Porcelain Veneers
Smile Makeover

Let's Connect

Name(Required)