Chicago Patient Receives Smile Makeover, Porcelain Veneers

Home > Chicago Patient Receives Smile Makeover, Porcelain Veneers

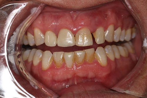
In 2020, a male patient underwent a Smile Makeover and Porcelain Veneers procedure in Chicago, IL, performed by Dr. Jeffrey A. Weller. Following the treatment, the patient expressed immense satisfaction with the results. The transformative process not only enhanced his smile aesthetically but also boosted his confidence significantly. Dr. Weller’s expertise and attention to detail were evident in the outcome, leaving the patient delighted with his new smile, a testament to the positive impact of quality dental care. He expressed, “My veneers look amazing and feel so natural. Truly life-changing!”

Before
After
Before
After

Patient Information

Gender: Male
Ethnicity: Hispanic

Service

Porcelain Veneers
Smile Makeover

Let's Connect

Name(Required)