Chicago Patient Receives Porcelain Veneers, Full-Mouth Reconstruction

Home > Chicago Patient Receives Porcelain Veneers, Full-Mouth Reconstruction

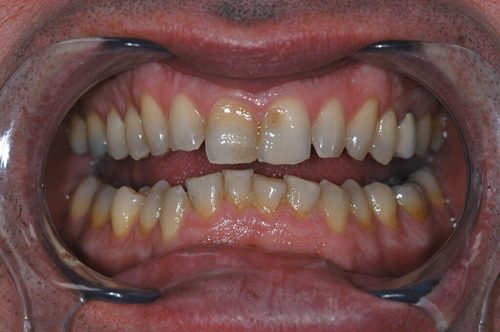
A male patient underwent Porcelain Veneers and Full-Mouth Reconstruction in 2014 by Dr. Jeffrey A. Weller in Chicago, IL. The patient experienced a remarkable transformation, enhancing both aesthetics and function. Following the procedures, the patient reported heightened confidence with his new smile. The meticulous care provided by Dr. Weller left the patient satisfied with the outcome, marking a significant improvement in his overall well-being. He expressed, “Thank you Dr. Weller for such beautiful results! I love my veneers!”

Before
After
Before
After

Patient Information

Gender: Male
Ethnicity: White

Service

Laser Gum Contouring
Porcelain Veneers

Let's Connect

Name(Required)