Chicago Patient Receives Porcelain Veneers, Cosmetic Dentistry

Home > Chicago Patient Receives Porcelain Veneers, Cosmetic Dentistry

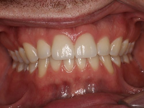
A male patient, who underwent Porcelain Veneers and Cosmetic Dentistry by Dr. Jeffrey A. Weller in Chicago, IL, in September 2018, reported significant satisfaction with the results. The patient expressed newfound confidence in his smile and highlighted the professional care provided by Dr. Weller. This positive experience serves as a testament to the expertise and quality of service offered at the dental practice. He expressed “My veneers completely transformed my smile and my confidence, thanks to Dr. Weller!”

Before
After
Before
After

Patient Information

Gender: Male
Ethnicity: White

Service

Cosmetic Dentistry
Porcelain Veneers

Let's Connect

Name(Required)