Chicago Patient Receives Porcelain Veneers, Cosmetic Dentistry

Home > Chicago Patient Receives Porcelain Veneers, Cosmetic Dentistry

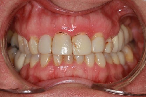
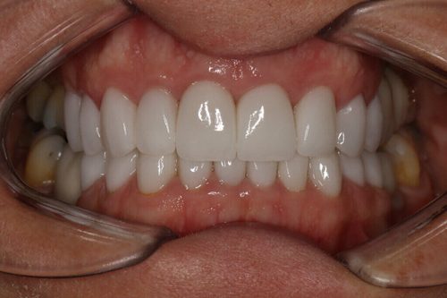
A Caucasian female patient underwent Porcelain Veneers and Cosmetic Dentistry during the winter of 2012 by Dr. Jeffrey A. Weller in Chicago, IL. The patient expressed satisfaction with the outcome, highlighting a positive experience with the procedures. Dr. Weller’s expertise in cosmetic dentistry provided the patient with a rejuvenated smile, improving both function and aesthetics. The patient’s feedback underscored the successful transformation achieved through the dental work, emphasizing the importance of quality care and expertise in enhancing patients’ well-being.

Before
After
Before
After

Patient Information

Gender: Female
Ethnicity: White

Service

Cosmetic Dentistry
Porcelain Veneers

Let's Connect

Name(Required)