Chicago Patient Receives Invisalign Treatment

Home > Chicago Patient Receives Invisalign Treatment

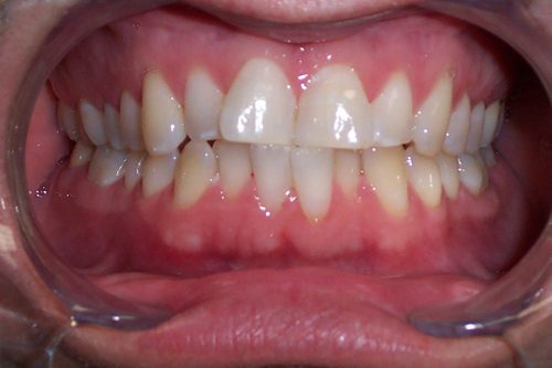
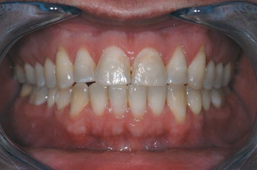
A Male patient underwent Invisalignยฎ treatment in 2012 by Dr. Jeffrey A. Weller in Chicago, IL, experiencing a transformative journey. The procedure date marked the beginning of a renewed sense of confidence and a radiant smile. Under Dr. Weller’s care, the patient’s teeth alignment improved significantly, leading to a positive impact on his overall well-being. This success story showcases the remarkable results that can be achieved through this innovative orthodontic treatment, highlighting the expertise and dedication of Dr. Weller in providing exceptional patient care.

Before
After
Before
After

Patient Information

Gender: Male
Ethnicity: White

Service

Invisalign

Let's Connect

Name(Required)