Chicago Patient Receives Full-Mouth Reconstruction

Home > Chicago Patient Receives Full-Mouth Reconstruction

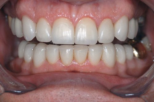
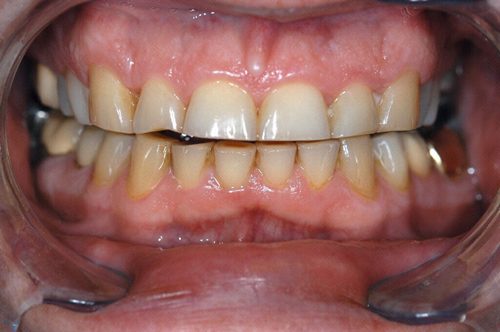
Following a Full-Mouth Reconstruction in 2014 by Dr. Jeffrey A. Weller in Chicago, IL, the male patient experienced a remarkable transformation. The comprehensive procedure enhanced both function and aesthetics, restoring the patient’s smile and confidence. The meticulous care provided by Dr. Weller resulted in a successful outcome, marking a turning point in the patient’s oral health journey. He expressed, “Thank you Dr. Weller for restoring my smile, my confidence, and my health!”

Before
After
Before
After

Patient Information

Gender: Male
Ethnicity: White

Service

Dental Crowns
Full Mouth Reconstruction
Restorative Dentistry

Let's Connect

Name(Required)