Chicago Patient Receives Full-Mouth Reconstruction, Dental Implants

Home > Chicago Patient Receives Full-Mouth Reconstruction, Dental Implants

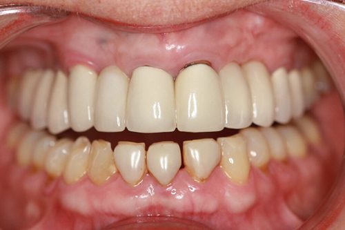
In the latter half of 2014, a female underwent a Full-Mouth Reconstruction and Dental Implants procedure by Dr. Jeffrey A. Weller in Chicago, IL. Following the treatment, the patient experienced a significant improvement in oral health and regained confidence in her smile. The meticulous care provided by Dr. Weller resulted in a successful outcome, leaving the patient satisfied and grateful for the transformative impact on her quality of life. She expressed, “Thank you for the care and detail you put into my implants! I love them!”

Before
After
Before
After

Patient Information

Gender: Female
Ethnicity: White

Service

Dental Implants
Full Mouth Reconstruction

Let's Connect

Name(Required)