Chicago Patient Receives Dental Bridges

Home > Chicago Patient Receives Dental Bridges

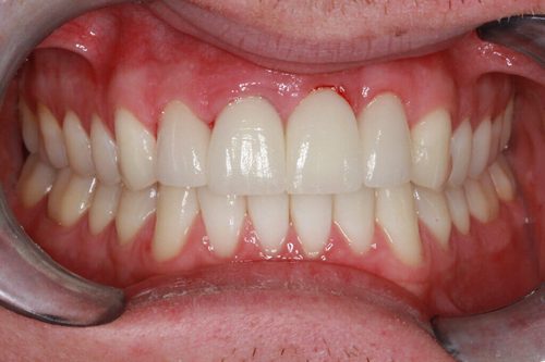
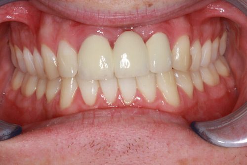
A male patient underwent dental bridge placement in May 2009 by Dr. Jeffrey A. Weller in Chicago, IL. Following the procedure, the patient experienced significant improvement in chewing function and overall oral health. The bridges seamlessly replaced missing teeth, restoring the patient’s confident smile. Dr. Weller’s expertise and care were evident throughout the treatment, leading to a positive outcome for the patient’s dental health.

Before
After

Patient Information

Gender: Male
Ethnicity: White

Service

Dental Bridges
Restorative Dentistry

Let's Connect

Name(Required)