Chicago Patient Receives Dental Bridges, Cosmetic Dentistry, Smile Makeover

Home > Chicago Patient Receives Dental Bridges, Cosmetic Dentistry, Smile Makeover

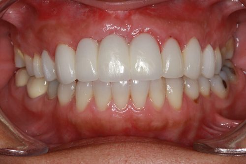
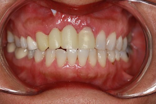
A Chicago female dental patient underwent Dental Bridges, Cosmetic Dentistry, and a Smile Makeover by Dr. Jeffrey A. Weller in Chicago, IL, in February 2013. Following the procedures, the patient experienced a significant improvement in her oral health and self-confidence. The patient was delighted with the outcome, appreciating Dr. Weller’s expertise and the compassionate care provided by the dental team. The successful treatment enhanced the patient’s smile, leaving her satisfied with the results and grateful for the positive impact on her overall well-being.

Before
After
Before
After

Patient Information

Gender: Female
Ethnicity: Hispanic

Service

Cosmetic Dentistry
Dental Bridges
Smile Makeover

Let's Connect

Name(Required)