Chicago Patient Receives Cosmetic Dentistry

Home > Chicago Patient Receives Cosmetic Dentistry

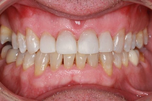
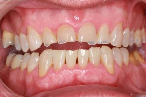
In spring 2015, a male patient underwent cosmetic dentistry in Chicago, IL, with Dr. Jeffrey A. Weller, resulting in a transformative experience. The patient showed significant improvements in his smile, boosting his confidence and overall well-being. Dr. Weller’s expertise and care were paramount in achieving the desired outcome, leaving the patient satisfied with the results. The successful procedure marked a positive turning point in the patient’s life, illustrating the profound impact of quality dental care on individual happiness and self-assurance. He expressed “I’ve never had a better dental experience! My Veneers look amazing!”

Before
After
Before
After

Patient Information

Gender: Male
Ethnicity: White

Service

Cosmetic Dentistry
Porcelain Veneers

Let's Connect

Name(Required)