Chicago Patient Receives Cosmetic Dentistry, Porcelain Veneers

Home > Chicago Patient Receives Cosmetic Dentistry, Porcelain Veneers

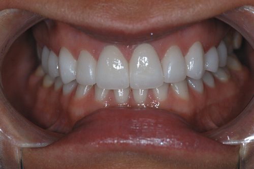
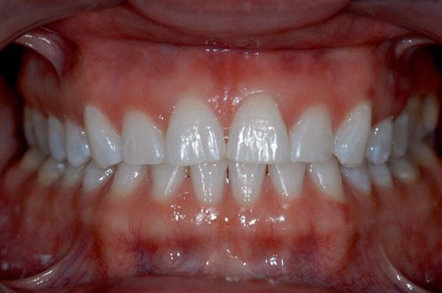
A patient underwent Cosmetic Dentistry and Porcelain Veneers in 2016 during fall by Dr. Jeffrey A. Weller in Chicago, IL. Following the procedure, the patient experienced a remarkable transformation. The Porcelain Veneers enhanced the aesthetics of her smile, giving her newfound confidence. Dr. Weller’s expertise and care were evident throughout the process, ensuring a positive experience for the patient.

Before
After
Before
After

Patient Information

Gender: Female
Ethnicity: White

Service

Cosmetic Dentistry
Porcelain Veneers

Let's Connect

Name(Required)