Chicago Patient Receives Cosmetic Dentistry, Dental Implants

Home > Chicago Patient Receives Cosmetic Dentistry, Dental Implants

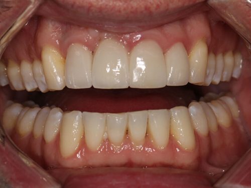
A Male patient underwent cosmetic dentistry and dental implant procedures in April 2020 by Dr. Jeffrey A. Weller in Chicago, IL. The patient experienced a successful outcome, improving both function and aesthetics. The treatments were performed with precision, resulting in a transformed smile. The patient expressed satisfaction with the results and praised Dr. Weller’s expertise and care. This positive experience highlights the impact of quality dental work on a patient’s well-being and confidence.

Before
After
Before
After

Patient Information

Gender: Male
Ethnicity: Ethnicity

Service

Cosmetic Dentistry
Dental Implants
Porcelain Veneers

Let's Connect

Name(Required)