Chicago Patient in IL Receives Smile Makeover

Home > Chicago Patient in IL Receives Smile Makeover

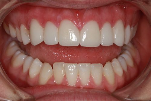
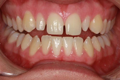
A female patient who underwent a smile makeover in 2011 by Dr. Jeffrey A. Weller in Chicago, IL, experienced a positive transformation. Her teeth were enhanced, creating a brighter, more confident smile. The procedure took place without complications, and the patient was pleased with the results. The improvements not only enhanced her appearance but also boosted her self-esteem.

Before
After
Before
After

Patient Information

Gender: Female
Ethnicity: White

Service

Cosmetic Dentistry
Porcelain Veneers
Smile Makeover

Let's Connect

Name(Required)