Chicago Patient Gets Dental Bridges, Porcelain Veneers

Home > Chicago Patient Gets Dental Bridges, Porcelain Veneers

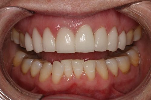
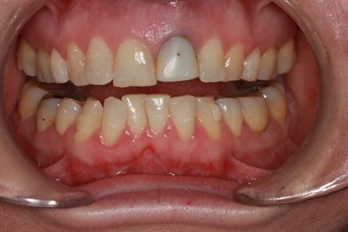
A white female patient underwent a combination of Dental Bridges and Porcelain Veneers in 2014 by Dr. Jeffrey A. Weller in Chicago, IL. Following the procedures, the patient experienced a remarkable transformation in her smile, instilling newfound confidence. The meticulous work of Dr. Weller not only enhanced the patient’s aesthetic appeal but also improved her dental health. The patient expressed deep satisfaction with the outcome, grateful for the expert care received, marking a significant positive change in her life. She expressed, “I’m so happy with my transformation! My veneers look amazing!”

Before
After
Before
After

Patient Information

Gender: Female
Ethnicity: White

Service

Dental Bridges
Laser Gum Contouring
Porcelain Veneers

Let's Connect

Name(Required)