Chicago IL Patient Receives ZOOM! Whitening

Home > Chicago IL Patient Receives ZOOM! Whitening

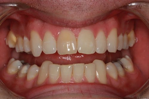
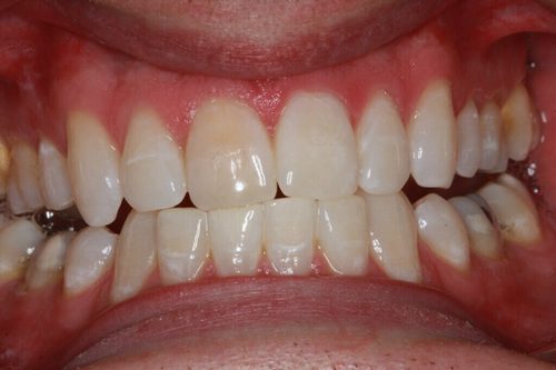
In July 2018, a male patient underwent ZOOM! Whitening at a Chicago-based clinic with Dr. Jeffrey A. Weller, leading to a remarkable transformation in his smile. The procedure, known for its efficiency, left the patient beaming with newfound confidence. Post-treatment, the patient expressed immense satisfaction with the results, praising Dr. Weller’s expertise and the professional care received during the process. The gleaming outcome of the ZOOM! Whitening session truly brightened his smile and uplifted his spirits.

Before
After

Patient Information

Gender: Male
Ethnicity: White

Service

Cosmetic Dentistry
Zoom Teeth Whitening

Let's Connect

Name(Required)