Chicago, IL Patient Receives Dental Implants

Home > Chicago, IL Patient Receives Dental Implants

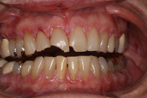
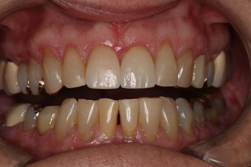
In the winter of 2020, a female patient underwent successful dental implant surgery performed by Dr. Jeffrey A. Weller in Chicago, IL. Following the procedure, the patient reported improved oral function and a boost in confidence. The patient expressed gratitude for Dr. Weller’s expertise and the seamless process at the clinic. The positive experience highlighted the transformative impact of modern dental care on the patient’s quality of life.

Before
After
Before
After

Patient Information

Gender: Female
Ethnicity: White

Service

Dental Crowns
Dental Implants
Porcelain Veneers

Let's Connect

Name(Required)