Chicago, IL Patient Receives Cosmetic Dentistry

Home > Chicago, IL Patient Receives Cosmetic Dentistry

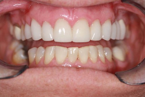
A Chicago woman underwent cosmetic dentistry in May 2016, performed by Dr. Jeffrey A. Weller. The procedure brought her a newfound confidence, enhancing her smile and overall appearance. The patient expressed satisfaction with the results, praising Dr. Weller’s expertise and the friendly staff at the clinic. This positive experience highlights the transformative impact of quality dental care on patients’ lives. She expressed “Not only do my veneers look great, but everyone was so sweet!”

Before
After
Before
After

Patient Information

Gender: Female
Ethnicity: White

Service

Cosmetic Dentistry
Porcelain Veneers

Let's Connect

Name(Required)